先天性髋关节发育不良是指髋臼先天性发育缺陷导致髋臼和股骨头对应关系不良,长期的应力异常而出现关节软骨退行性改变,股骨头脱位,甚至局灶性坏死、严重骨关节炎的一种疾病。其主要临床表现为:1.活动时髋部有响声出现:由于髋关节发育不良,所以髋关节多不稳定,在活动时股骨头就会不断的滑出髋臼,从而出现“咯吱咯吱”的响声。2. 臀纹不对称:可能是由于发育过程中一条腿长于另一条腿所致;也可能是由于一侧臀部和大腿的皮肤出现多余褶皱所致。3.关节活动不对称:由于髋关节发育不良,可能会出现患侧腿部的伸展性比正常一侧差,所以患者可有关节不对称的表现。4.走路跛行:髋关节发育不良,会导致患者患侧的脚总是跛行。早期临床诊断不易发现,典型症状通常为髋部酸痛及进行性跛行。X线检查常表现为髋臼浅小、纵径增大、倾斜角度增大、股骨头覆盖不良等,常伴有髋关节半脱位、脱位或股骨近端畸形。
我院创伤骨科近年来已通过髋关节置换结合结构性植骨已为数十例髋臼发育不良的患者解除病痛的折磨。典型病例分享如下:
患者,女性,59岁。因“跛行30余年,加重并右髋部疼痛2年”来诊。体格检查:双下肢不等长,右侧髋关节深压痛,双侧髋关节活动受限,右侧显著;右髋关节活动度:屈80°,伸-10°;内收10°,外展20°;内旋:10°,外旋10°;双下肢无明显短缩。患者以右侧髋部疼痛、活动受限为主,左侧无明显疼痛感,给予行右侧全髋关节置换术治疗。



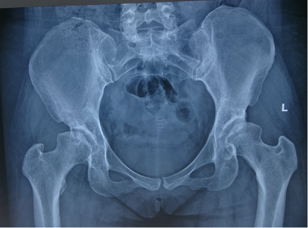
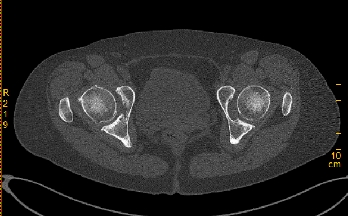
术前X线及髋关节CT图像显示,双侧髋臼明显发育不良,髋臼变浅,右侧髋臼骨质密度不均匀,双侧髋臼对股骨头的包容不足。

术中打磨好髋臼,安放完髋臼杯以后发现臼杯上方骨覆盖明显不足,于是利用截掉的股骨头做出大小合适的植骨块,将植骨块打磨、雕刻成与髋臼相匹配的形状,并把植骨块使用螺钉固定在无骨质覆盖的髋臼上方。

术后复查髋关节正位片显示,右侧髋关节置换术后,假体位置满意,植骨块位置合适。
兰陵县人民医院创伤骨科在髋关节发育不良、强直性髋、髋关节翻修等疑难病例的治疗中积累了丰富的临床经验,让患者在家门口就能解决髋关节相关的疑难病症。