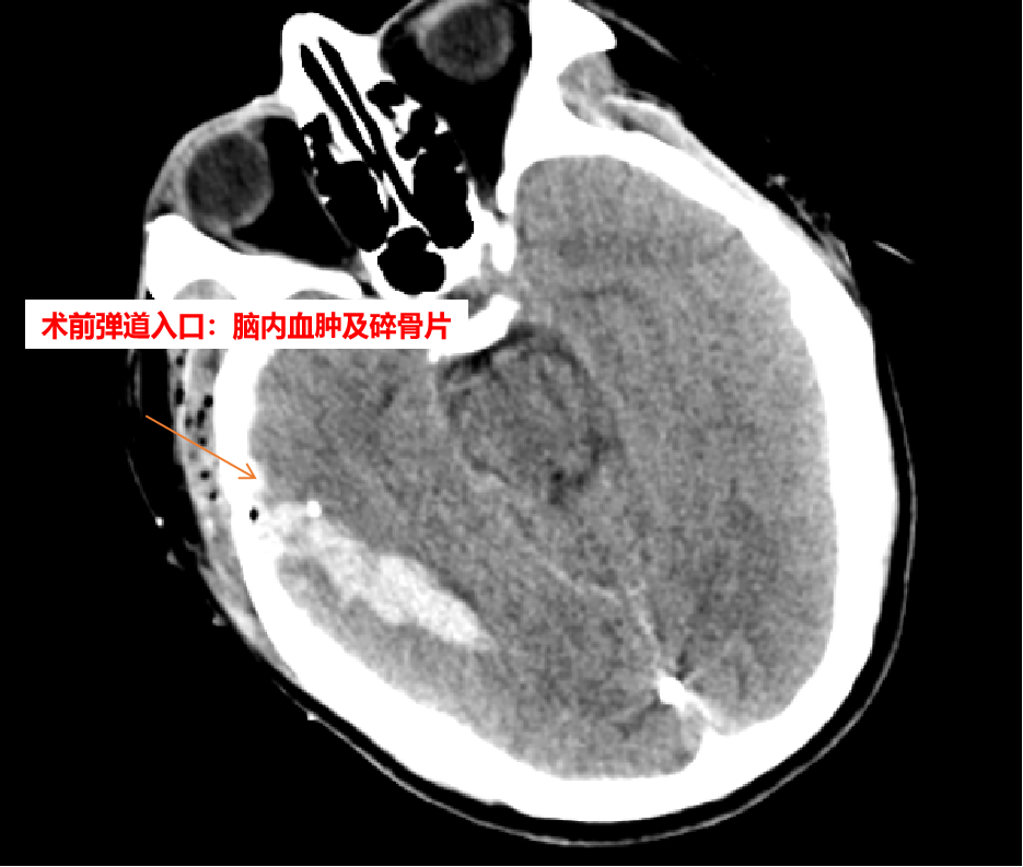
患者张某平,男,41岁,因“重型颅脑爆炸伤”于2021年10月10日收入兰陵县人民医院颅脑创伤外科进行抢救。一颗子弹自患者右侧颞部击碎颅骨进入脑内约15cm,造成多个颅骨碎骨片进入脑内,并造成弹道内的峰脑内血肿,医护人员在充分术前准备下立即行开颅血肿清除异物和脑内血肿手术。
术中见右颞骨一0.5*0.5cm大小的洞口,用铣刀做出约10*6cm大小骨瓣,取下骨瓣后见右颞叶表层一1*1cm大小洞口,沿洞口进入,清除多枚碎骨片及脑内血肿,并仔细止血,放置引流管一枚,术毕回病房。
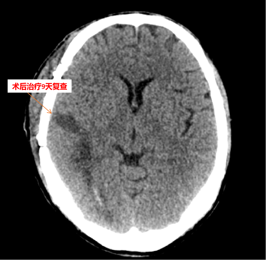
术后经复查颅脑CT后发现脑内血肿清除彻底,而且碎骨片清除彻底,无残屑,为避免术后颅内感染打下了坚实的基础;术后给予有效抗生素预防感染,经反复腰穿证实,无颅内感染。经兰陵县人民医院颅脑创伤外科的积极抢救治疗,病人已抢救成功,目前此患者在兰陵县人民医院继续进行康复治疗。
此例病人的抢救成功,标志着兰陵县人民医院抢救颅脑火器伤的水平提高了一个层次,填补了兰陵县人民医院此项领域的空白,具有划时代的意义!




