肺栓塞是常见的三大致死性心血管疾病之一。
什么是肺栓塞?肺栓塞是血液中的一块固态物质(栓子)造成肺动脉阻塞,通常由血凝块(血栓)引起,也可能由其他异物引起,但很少见。
什么样的人容易得肺栓塞呢?高龄,尤其是 60 岁以上、血液凝固功能紊乱、癌症、插入大静脉给药或营养物的导管(内置的静脉导管)、心力衰竭、瘫痪骨盆、髋部或小腿受伤、肾病综合征、3月内行大手术、肥胖、现有的血凝块、吸烟、卒中等。
急性肺栓塞都有哪些前兆呢?首先说明症状出现时,通常都是突然地发生。急性肺栓塞症状包括:气短、胸痛、心跳加速、头晕或昏厥。呼吸困难可能是唯一症状,通常呼吸频率会增快,患者感到焦虑或不安以及焦虑发作。部分栓子非常大的患者,首个肺栓塞症状是头晕目眩或失去意识。如果患者突然失去意识,他们的身体可能抖动,状似痉挛。血压可能降至危险程度(称作休克),皮肤可能冰凉且呈蓝色(发绀),患者可能猝死。
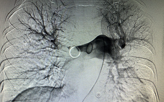
2021年1月4号晚上19点16分,患者张某,突发胸闷憋喘,我院心内科、胸外科、呼吸内科、重症监护室、介入医学科联合会诊考虑肺栓塞可能性大,急查肺动脉CTA 明确诊断。考虑患者病情重,随时有猝死的可能,介入医学科付信军主任决定急诊行下腔静脉滤器植入+肺动脉置管溶栓术抢救患者生命,给患者生的希望,术后积极溶栓抗凝治疗,现患者已较前明显好转。下图为术前术后肺动脉造影对比图:


急性肺栓塞有很多症状,缺乏特异性,患者和家属其实难以记住和分辨,所以患者不对劲就别犹豫,尽快送医院,犹豫就会丢命,犹豫就会丢命,犹豫就会丢命,重要的事情说三遍。此外肺栓塞治疗后如果没有配合长期治疗康复,容易导致栓塞反复复发,这将降低患者生活质量甚至危及生命,因此全面认识肺栓塞对患者和家属意义重大。
兰陵县人民医院介入医学科自成立以来,积极开展血管内相关介入手术,介入手术具有简便、安全、有效、微创和并发症少和住院时间明显缩短等优势,手术效果满意得益于完善的术前准备与评估,精湛的手术技巧和细心的术后护理。我科通过介入手术肺动脉置管溶栓的办法已挽救多位急性肺栓塞患者的生命,将来必将造福广大肺栓塞患者,为更多肺栓塞患者争抢生的希望,让肺栓塞不再谈虎色变。